人工股関節置換術に対するリハビリ
痛みは最小限に、
効果は最大限に。
わきだ整形外科リハビリ科
70代女性の方です。
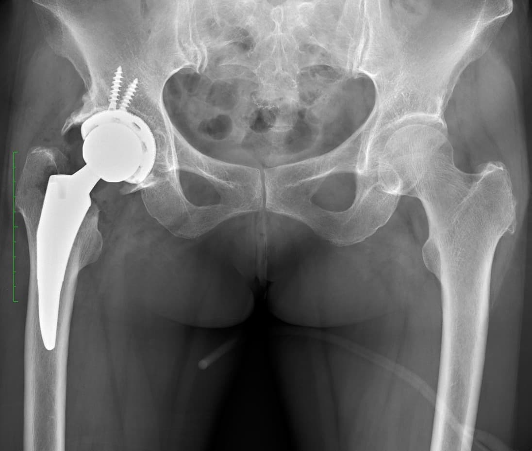
手術の1年半前より右股関節痛が出現し、徐々に歩行時痛は増強し夜間も右股関節〜大腿部へ疼くような疼痛も出現、術前は疼痛による右下肢への荷重困難と股関節の可動域制限、筋力低下により屋内では壁伝いで7m程度、屋外では足を引きずる形で10分程度の歩行耐久性でした(動画)。また足が開きにくいことで靴下の着脱や足の爪切り動作の困難感がみられました。近医での治療行うも症状改善なく当院へ2023年3月受診され、右変形性股関節症の診断あり同年5月に右人工股関節置換術が行われました。
術後経過
術後翌日より、計画に沿ってリハビリを開始しました。
1日目は寝返り練習や起居動作練習にて端座位まで行い、2日目から起立や立位にて右下肢への荷重を開始しました。
術後4日目には1本杖使用しトイレ移動や洗面までの自立歩行が可能となりました。術後1週目には靴下着脱や靴の着脱が可能となり(動画)、術後2週目には補助具なしで自立歩行が可能となり(動画)、足の爪切り動作も自立して行えるようになっています(動画)。術後3週目には20分の屋外歩行を行い安定性・スピード共に実用的に問題なく可能(動画)となりました。また、浴槽へのまたぎ動作や階段昇降も自立し、術後26日目に自宅退院の運びとなっています。
人工股関節置換術を受けられる患者様は、安心して自宅復帰して頂くために、約4週間の入院期間をもうけています。手術前は、全身の姿勢や股関節の動きや筋力をチェックし、手術後リハビリがスムーズに進むようにしています。入院期間中は、術翌日から股関節を動かし、ベッドに腰掛けることができ、術側の股関節に体重をかけることが可能です。術後2日目からは状態に応じて松葉杖歩行・歩行器での歩行を開始します。術後早期からリハビリを行う事で、術後の合併症や筋力低下を最小限にとどめています。また、退院までには、階段昇降練習や屋外歩行練習、床上動作練習などを行い、ご自宅に戻られてから、不安なく生活して頂けるようにしています。

