人工膝関節置換術に対するリハビリ
痛みは最小限に、
効果は最大限に。
わきだ整形外科リハビリ科
60代男性の方です。
数年前から右膝の痛みが出現し、徐々に痛みと膝の変形が進行してきました。
外来通院での運動療法と関節注射を継続して行っていましたが、レントゲンでは膝関節内側の関節軟骨がすり減って、上下の骨が衝突しており、痛みも強いことから手術適応となりました。(左写真)
術後経過(動画)
人工膝関節置換術後は術翌日から膝を動かすことができ、関節可動域練習や立ち座り動作を開始します。痛み止めの注射の効果により、強い痛みを抑えることができ無理なく動作や運動を行うことができます。
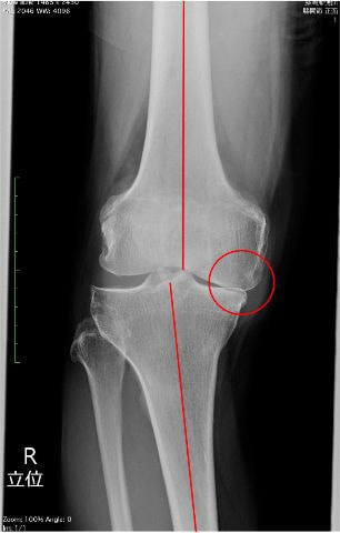
術後3日目から松葉杖歩行を開始しました。人工膝関節置換術後はO脚が改善し(右写真)、右脚に体重をかけて歩くことも早期に可能になります。術後5日目には、松葉杖を使用せずに両脚で歩くことが可能になりました。入院中は下肢筋力強化練習や歩行練習を反復することにより、日に日に歩行が安定して行えるようになります。
膝関節可動域(曲げ伸ばし)については、0°〜120°の範囲でスムーズに動かすことができるよう、術後早期から運動を開始します。術前は痛みと変形により曲げ伸ばしどちらも制限がみられましたが、術後3週間程度で目標の関節可動域を獲得することができ、固定自転車でペダルをこぐ運動も実施できるまでに改善しました。
退院前には階段昇降練習や屋外歩行練習、床上動作練習など生活に必要な動作練習を実施します。ご自宅での必要な動作を練習することで、不安なく元の生活に戻って頂けるようサポートしています。
わきだ整形外科では、片膝の手術で術後約4週間、両膝の手術で術後約6週間の入院期間となります。退院後は術後3ヶ月程度を目処に、外来通院での理学療法を行なうことで術後の長期経過も良好です。定期診察も含め、退院後も不安なく継続して治療を受けて頂けます。

